Actualites

Les noms des bébés
13/12/2012
Les noms des bébés sont connu :)En Hollande c'est obligatoire de donner les noms avant leur 10ème jour de leur vie. Les fifilles:Hanae YanouHirthe Ysa VajènHeiresse YhiséeHélianthe YadeHalouette...

Nouvelles de FAN UBAC
10/12/2012
Notre aimé Boyd a grandi beau et bon. FAN UBAC YEM de la BonhardiesseDeux ans, il a déjà beaucoup de succès à son nom:Récommandé la Souterraine '12, 2ième classe inter, restant dans les 6 de...

Album photos des chiots!
07/12/2012
Les chiots de Dianthe et Yan ont quatre jours aujourd'hui. Beaucoup des photos dans notre Album!

Les Neuf sont nés :)
05/12/2012
Ils sont 9: 6 femelles et 3 mecs !Père: Corver Yan du Domaine du Bois de ChartresRécommandé '12, CSAU, BH, RH-TA, RH-TB, RH-LA, RH-LBplusieurs CAC et BOBMère:Ch. CHJ. Dianthe de la Noé d' Oriëntc...

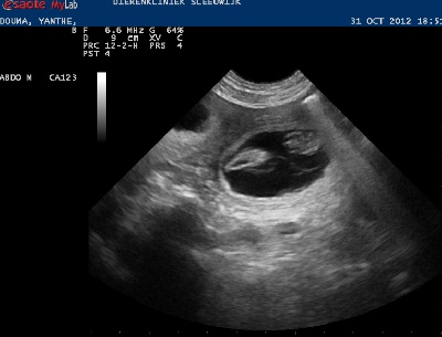
Gestation confirmé !
04/11/2012
L'echographie à confirmé nos expectations: Dianthe dite Yanthe est gestante! Nous sommes vraiment fiers d'attendre des bébés de ce magnifique chien de sauvetage et de beauté exceptionel: Yan!&nbs...

Saillie Yan x Yanthe!
09/10/2012
Avec immense plaisir je vous annonce que le mariage entre Corver Yan du Domaine du Bois de Chartres (4), Dys AABH, RH-T-A, RH-T-B, RH-L-A, RH-L-B, SAR certificated policedog, CSAUfils de CHCS. Ar...

Mariage prevue!
21/05/2012
Nous sommes fières d'annoncer notre Mariage Prevue! CH. CHJ. Dianthe de la Noe d'Oriënt (Dys A, cot.3, CANT, CSAU, MAG-teste) dite YantheetCorver Yan du Domaine du Bois de Chartres (Dy...

Dianthe Championne :)
18/05/2012
Joe Kat Show, NL. (Speciale des bergers) Ma belle Dianthe a obtenu son dernière (R)CAC pour le championnat d'Hollande! Je suis très fière à la miss!

Nouvelles de l'équipe d'Ubac et Dianthe
07/04/2012
Tous les onzes bb vont bien!Déja presque 18 mois notre beaux loulous. Nous recevons régulièrement des histoires et des photos et de temps en temps nous avons un petit reúnion :)Donne-moi mam...

Regionale d' Elevage à Cergy-Pontoise
23/03/2012
FAN UBAC YEM de la Bonhardiesse a obtenu cotation 3!Hauteur du garrot: 68 cmTAN 8-8-8morfo EXC(Dys A)Cette journée il a aussi fait son CSAU: excellent!Après tout ça il est présenté sur le ring d'...

Bonne Année à tous les beauceronniers!!!
01/01/2012
Nous vous souhaitons que l'année 2012 n'apporte que du bonheur!Pour nous.... le prospecte de la deuxième portée de notre elevage, de notre aimée Dianthe. Nous avons hâte! :)Pour tous les "chiots" de l...